الروبوت يعيد خطوات الحياة… مستشفى الدكتور سليمان الحبيب بالخبر يعالج ثمانينية من آلام الركبة ويمنحها القدرة على المشي من جديد
الترند العربي – متابعات
في إنجاز طبي جديد يعكس التطور المتسارع للقطاع الصحي في المملكة، نجح مستشفى الدكتور سليمان الحبيب بالخبر في إجراء عملية زراعة مفصل ركبة معقدة باستخدام تقنية الروبوت الجراحي المتطور، لمراجعة تبلغ من العمر 84 عامًا، أنهت سنوات طويلة من الألم والمعاناة، وأعادت لها القدرة على المشي والحركة بصورة طبيعية. هذا الإنجاز لا يمثّل نجاحًا جراحيًا فحسب، بل نموذجًا متقدمًا لكيف يمكن للتقنية الطبية الحديثة أن تغيّر حياة كبار السن وتمنحهم جودة حياة أفضل حتى في أصعب الحالات الصحية.
العملية أُجريت بتخدير جزئي، وهو عامل طبي مهم في حالة المراجعة نظرًا لتقدمها في العمر ومعاناتها من أمراض مزمنة متعددة، ما يعكس دقة التقييم الطبي وحرص الفريق المعالج على اختيار أفضل المسارات العلاجية الآمنة والفعالة في آن واحد.

معاناة مزمنة… سنوات من الألم وفقدان القدرة على الحركة
بحسب ما أوضحه الدكتور محمد سكيك، استشاري طب وجراحة العظام واستبدال المفاصل، ورئيس الفريق الطبي المعالج، فإن المراجعة كانت تعاني منذ سنوات من آلام حادة ومزمنة في مفصل الركبة اليسرى، ترافقت مع انتفاخ شديد وعدم القدرة على المشي أو صعود السلالم، الأمر الذي قيّد حركتها بشكل شبه كامل، وأثر بشكل كبير على حياتها اليومية واعتمادها على نفسها.
هذه الحالة شائعة لدى كبار السن، لكنها تصبح أكثر تعقيدًا عندما تترافق مع أمراض مزمنة أخرى، وهو ما كان عليه وضع المراجعة، إذ تعاني من ارتفاع ضغط الدم، وارتفاع الكوليسترول، إضافة إلى هشاشة عالية بالعظام، ما يجعل أي تدخل جراحي تقليدي محفوفًا بالمخاطر إذا لم يُخطط له بعناية فائقة.

تشخيص دقيق قبل اتخاذ القرار الجراحي
عند وصول المراجعة إلى العيادة، خضعت لتقييم شامل ودقيق بدأ بالاستماع إلى الشكوى المرضية بشكل تفصيلي، ثم الاطلاع على تاريخها الطبي الكامل. بعد ذلك، تم إخضاعها لسلسلة من الفحوصات الطبية المتقدمة، شملت الأشعة السينية الرقمية على جميع اتجاهات مفصل الركبة، إضافة إلى تحاليل مخبرية متكاملة.
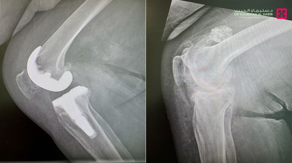
وأظهرت النتائج وجود خشونة شديدة من الدرجة الرابعة، وهي أعلى درجات تآكل المفصل، مع احتكاك مباشر في العظام، وتآكل بالغضاريف المحيطة بالركبة، وتكوّن تكلسات خلف المفصل، فضلًا عن وجود انحراف وتقوّس واضح في شكل الركبة. هذه المعطيات أكدت أن العلاج التحفظي لم يعد مجديًا، وأن التدخل الجراحي أصبح الخيار الأنسب لاستعادة الحركة وتخفيف الألم.

قرار الجراحة… عندما تصبح التقنية هي الحل الآمن
بعد دراسة دقيقة لكافة النتائج الطبية، اجتمع الفريق المعالج وقرر إجراء عملية زراعة مفصل ركبة باستخدام تقنية الروبوت الجراحي، لما توفره من دقة عالية وتحكم متقدم يقلل من المخاطر المحتملة، خصوصًا لدى المرضى كبار السن أو الذين يعانون من أمراض مزمنة متعددة.
اختيار التخدير الجزئي جاء كقرار مدروس لتقليل التأثيرات العامة للتخدير الكامل على جسم المراجعة، وهو ما يعكس تكامل القرار الطبي بين الجراحة والتخدير والرعاية اللاحقة.

الروبوت الجراحي… ثورة دقيقة في جراحات المفاصل
خلال العملية، التي استغرقت نحو ساعتين ونصف، استخدم الفريق الطبي تقنية الروبوت الجراحي المتطورة، حيث تم تزويد النظام الروبوتي بكافة البيانات الخاصة بالمراجعة، بما في ذلك قياسات الركبة، وطبيعة العظام، وحالة الأنسجة المحيطة بالمفصل.
يقوم الروبوت الجراحي برفع القياسات بدقة متناهية، وتحديد مواضع القطع الجراحي وزواياه، واختيار المفصل الصناعي الأنسب لحالة المريض، بما يضمن أعلى مستويات التوافق بين المفصل الصناعي وبنية الركبة الطبيعية. هذه الدقة تقلل من هامش الخطأ البشري إلى أدنى مستوى، وتضمن توزيعًا مثاليًا للحركة والضغط داخل المفصل بعد الزراعة.
كما تم خلال العملية تصحيح الانحراف والتقوس في الركبة باستخدام دعامة متطورة تشمل الساق والفخذ، ما أسهم في استعادة المحور الطبيعي للطرف السفلي وتحقيق توازن أفضل أثناء المشي.
النجاح الفوري… المشي في اليوم نفسه
أحد أكثر الجوانب اللافتة في هذه الحالة هو سرعة التعافي، إذ تكللت جهود الفريق الطبي بالنجاح التام، واستطاعت المراجعة الوقوف والمشي في نفس يوم العملية بمساعدة أخصائي العلاج الطبيعي، وذلك بعد ساعات قليلة فقط من الانتهاء من الجراحة. هذا التطور السريع يعكس مدى فعالية تقنية الروبوت الجراحي في تقليل الألم بعد العملية، والحفاظ على الأنسجة المحيطة بالمفصل.
خضعت المراجعة بعد العملية لبرنامج رعاية طبية مكثفة استمر أربعة أيام داخل المستشفى، تضمنت متابعة دقيقة للحالة العامة، والعلاج الطبيعي، والسيطرة على الألم، قبل خروجها إلى المنزل بحالة مستقرة.
تعافٍ سريع وعودة للحياة الطبيعية
بعد مرور أسبوعين فقط على العملية، زارت المراجعة العيادة وهي تمشي بثبات، وقد اختفت الآلام المزمنة التي كانت تعاني منها لسنوات طويلة. وأصبحت قادرة على ممارسة حياتها اليومية بصورة طبيعية، دون الحاجة إلى مساعدة دائمة أو أدوات دعم للحركة. هذا التحول السريع في جودة الحياة يعكس القيمة الحقيقية للتقنيات الطبية الحديثة عندما تُستخدم بالشكل الصحيح وفي الوقت المناسب.
تقنية الروبوت الجراحي… لماذا تُعد خيار المستقبل؟
في ختام حديثه، أوضح الدكتور محمد سكيك أن استخدام تقنيات الروبوت الجراحي في عمليات استبدال المفاصل أصبح يمثل نقلة نوعية في عالم جراحة العظام، لما توفره من مزايا متعددة، من أبرزها:
الدقة العالية في زراعة المفصل الصناعي ووضعه في الموضع المثالي
تقليل فقدان الدم أثناء الجراحة
المحافظة على الأنسجة المحيطة بالمفصل
تقليل الألم بعد العملية
تسريع فترة التشافي والعودة للحركة
تحقيق ثبات أفضل وتوازن أعلى أثناء المشي
إطالة العمر الافتراضي للمفصل الصناعي
هذه المزايا تجعل التقنية الروبوتية خيارًا مثاليًا خاصة لكبار السن، والحالات المعقدة، والمرضى الذين يعانون من هشاشة العظام أو أمراض مزمنة.
طب العظام في المملكة… تطور يواكب أعلى المعايير العالمية
يمثل هذا الإنجاز نموذجًا لما يشهده القطاع الصحي في المملكة من تطور لافت، سواء على مستوى الكوادر الطبية المتخصصة أو على مستوى التقنيات المستخدمة. إذ أصبحت المستشفيات السعودية قادرة على إجراء عمليات بالغة التعقيد باستخدام أحدث ما توصل إليه الطب الحديث، مع تحقيق نتائج تضاهي كبرى المراكز الطبية العالمية.
كما يعكس هذا النجاح التكامل بين الخبرة الإنسانية للطبيب والتقنية الذكية للروبوت، في نموذج علاجي يعتمد على التخطيط الدقيق واتخاذ القرار المبني على بيانات علمية متقدمة.
كبار السن والتقنية… معادلة جديدة تعيد الأمل
لطالما شكّل التدخل الجراحي لدى كبار السن تحديًا طبيًا كبيرًا، لكن مع تطور تقنيات مثل الروبوت الجراحي، أصبحت هذه الفئة العمرية تحظى بفرص علاجية أكثر أمانًا وأعلى كفاءة. فإعادة القدرة على المشي ليست مجرد استعادة لحركة جسدية، بل استعادة للكرامة والاستقلالية وجودة حياة أفضل.
الخبر… مركز متقدم لجراحات المفاصل الحديثة
يواصل مستشفى الدكتور سليمان الحبيب بالخبر تعزيز مكانته كمركز طبي متقدم في مجال جراحات العظام والمفاصل، من خلال استقطاب الكفاءات الطبية العالية، وتبنّي أحدث التقنيات العالمية، وتوفير منظومة رعاية متكاملة تبدأ بالتشخيص الدقيق وتنتهي ببرامج التأهيل وإعادة التأقلم بعد الجراحة.
نقلة نوعية في التعامل مع خشونة الركبة
تُعد خشونة الركبة من أكثر المشكلات الصحية شيوعًا لدى كبار السن، وقد كانت في السابق تعني سنوات من الألم أو الخضوع لجراحات تقليدية ذات فترات تعافٍ طويلة. اليوم، ومع استخدام الروبوت الجراحي، تغيّرت المعادلة، وأصبح بالإمكان إجراء عمليات دقيقة، بنتائج أسرع وأكثر استقرارًا، حتى في الحالات المتقدمة والمعقدة.
هل يمكن إجراء زراعة مفصل لكبار السن بأمان؟
نعم، خاصة عند استخدام تقنيات متقدمة مثل الروبوت الجراحي، مع تقييم طبي شامل واختيار التخدير المناسب.
ما الفرق بين الجراحة التقليدية والروبوت الجراحي؟
الروبوت يوفر دقة أعلى، ويحافظ على الأنسجة، ويقلل الألم وفترة التعافي، ويُحسن نتائج الزراعة على المدى الطويل.
هل التخدير الجزئي آمن في مثل هذه العمليات؟
نعم، وفي كثير من الحالات يُعد الخيار الأمثل خاصة لكبار السن أو المرضى الذين يعانون من أمراض مزمنة.
متى يستطيع المريض المشي بعد العملية؟
في كثير من الحالات، يمكن الوقوف والمشي في نفس اليوم أو في اليوم التالي بمساعدة العلاج الطبيعي.



