مستشفى الدكتور سليمان الحبيب بالخبر يجري عملية استبدال ركبة ناجحة باستخدام الروبوت الجراحي تحت التخدير النصفي
الترند العربي – متابعات
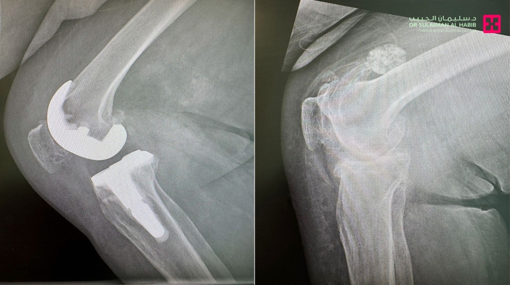
في إنجاز طبي جديد يُضاف إلى سجل المنجزات الصحية في المملكة، نجح مستشفى الدكتور سليمان الحبيب بالخبر في إجراء عملية متقدمة لاستبدال مفصل الركبة لسيدة تبلغ من العمر 77 عامًا، مستخدمًا تقنية الروبوت الجراحي (Robotic Surgery) وتحت التخدير النصفي، في واحدة من أبرز العمليات الدقيقة التي تمثل نقلة نوعية في مجال جراحات المفاصل والعظام بالمنطقة الشرقية.
وأكد الدكتور محمد سكيك، استشاري جراحة العظام والمفاصل ورئيس الفريق الطبي، أن العملية جاءت بعد رحلة معاناة طويلة خاضتها المريضة مع آلام الركبة المزمنة، وصعوبة الحركة، وتراجع القدرة على أداء الأنشطة اليومية. وبحسب الفريق الطبي، فإن هذه العملية لم تُنهِ فقط معاناة استمرت لسنوات، بل أعادت للمريضة قدرتها على المشي في غضون ساعات قليلة من الجراحة.

حالة طبية نادرة.. ومعاناة استمرت عامين
بدأت القصة حين وصلت السيدة السبعينية إلى المستشفى وهي تعاني من خشونة حادة في مفصل الركبة، وتآكل الغضاريف، والتهاب في الأربطة، إلى جانب معاناتها من أمراض مزمنة متعددة مثل ارتفاع ضغط الدم، والسكري، وهشاشة العظام، وكسل الغدة الدرقية، والنقرس، واحتكاك العمود الفقري.
كانت المريضة قد خضعت لمحاولات علاج تحفظي غير جراحي على مدى عامين دون تحسن يُذكر، قبل أن يوصي الأطباء بضرورة التدخل الجراحي باستخدام الروبوت، كونه الحل الأمثل لحالتها المعقدة.
وأوضح الدكتور سكيك أن الفريق الطبي أجرى فحوصات دقيقة بالأشعة المقطعية والرنين المغناطيسي لتقييم حالة المفصل والأنسجة المحيطة، وتحديد خطة العلاج المناسبة قبل الجراحة.

الروبوت الجراحي.. دقة متناهية وتقليل للمضاعفات
تُعد تقنية الروبوت الجراحي من أحدث ما توصلت إليه التكنولوجيا الطبية في العالم، إذ تتيح للجراح التحكم في الأدوات الجراحية من خلال نظام محوسب عالي الدقة، يضمن دقة تصل إلى أجزاء من المليمتر، مما يقلل احتمالية الخطأ البشري ويُسرّع من التعافي بعد العملية.
ووفقًا للفريق الطبي، فقد تم خلال العملية تصحيح التقوس الحاد في الساق باستخدام دعامات دقيقة، وتعويض ضعف الأربطة عبر تثبيت المفصل الصناعي عالي الجودة، الذي صُمم خصيصًا ليتناسب مع قياسات المريضة.
كما ساهم استخدام التخدير النصفي في تقليل المضاعفات المحتملة المرتبطة بالتخدير الكلي، خاصة لدى المرضى كبار السن، مما جعل التجربة أكثر أمانًا واستقرارًا.

نجاح العملية ونتائج فورية مذهلة
استغرقت الجراحة نحو 90 دقيقة فقط، وتمت دون أي مضاعفات تُذكر، حيث تمكنت المريضة من المشي خلال ساعات قليلة من الجراحة، وهو ما يعد إنجازًا في مثل هذه العمليات المعقدة.
وبعد أيام قليلة، غادرت المستشفى وهي في حالة صحية ممتازة، وقد تخلصت من كافة الأعراض التي كانت تعاني منها لسنوات، لتبدأ مرحلة جديدة من حياتها خالية من الألم.
وأكد الدكتور سكيك أن النجاح لم يكن في الجانب الجراحي فقط، بل في تحقيق الهدف الأسمى: استعادة المريضة لحركتها الطبيعية وثقتها في قدرتها على ممارسة حياتها اليومية دون معاناة.
منظومة علاجية متكاملة
يعتمد مستشفى الدكتور سليمان الحبيب على منظومة علاجية متكاملة تبدأ من الفحص الأولي، مرورًا بالتشخيص الدقيق، ووضع خطة علاج مخصصة لكل حالة، وصولًا إلى المتابعة بعد العملية.
وفي هذه الحالة، تم تطبيق بروتوكول خاص يتضمن علاج هشاشة العظام، وتعديل النظام الغذائي، وتقوية العضلات المحيطة بالمفصل قبل الجراحة، بما يسهم في تعزيز فرص النجاح وتقليل فترة النقاهة.
وأكدت إدارة المستشفى أن جميع العمليات التي تُجرى في قسم العظام والمفاصل تُنفذ وفق أعلى معايير الجودة والسلامة، باستخدام أحدث التجهيزات التقنية والروبوتية، وبإشراف كوادر طبية مؤهلة تدريبًا وخبرةً على المستوى الدولي.
الابتكار في خدمة الإنسان
الروبوت الجراحي لا يُعد بديلاً عن الطبيب، بل أداة مساعدة ترفع من كفاءة العمل البشري.
ويتيح النظام المتطور للجراح رؤية ثلاثية الأبعاد لموقع العملية، مع إمكانية محاكاة الحركة الطبيعية للمفصل قبل تنفيذها فعليًا.
وبفضل هذه التقنية، تقل نسبة الخطأ في تركيب المفصل الصناعي إلى أدنى مستوياتها عالميًا، كما تنخفض فترة التنويم في المستشفى بنسبة تصل إلى 40٪ مقارنة بالطرق التقليدية.
ويُسهم ذلك في تقليل التكاليف الصحية على المدى الطويل، من خلال تسريع التعافي وتقليل الحاجة إلى جلسات العلاج الطبيعي المطوّلة.
أثر الجراحة على جودة الحياة
تُظهر الدراسات أن مرضى استبدال الركبة باستخدام الروبوت يتمتعون بمستويات أعلى من الرضا مقارنة بالمرضى الذين خضعوا للجراحة التقليدية، بفضل الدقة العالية وتقليل الألم وسرعة العودة إلى النشاط الطبيعي.
وفي حالة المريضة السعودية، انعكست النتائج بشكل واضح على حياتها اليومية، إذ أصبحت قادرة على المشي والصلاة والقيام بالأعمال المنزلية دون ألم أو صعوبة.
وقال الدكتور سكيك: “ما حققناه في هذه العملية هو ثمرة تضافر الجهود بين التكنولوجيا الحديثة والخبرة الطبية المتخصصة، وهو ما يعزز مكانة المملكة كوجهة طبية رائدة في الشرق الأوسط.”
مستشفيات الدكتور سليمان الحبيب.. ريادة متواصلة
تُعد مجموعة الدكتور سليمان الحبيب الطبية من أبرز المؤسسات الصحية في المنطقة، إذ تضم شبكة من المستشفيات والمراكز المتخصصة التي تغطي مختلف التخصصات الطبية.
ويتميز فرع الخبر بكونه من أوائل المستشفيات في المملكة التي اعتمدت الجراحة الروبوتية في مجال العظام والمفاصل، ضمن استراتيجية متكاملة للتحول الرقمي في الخدمات الطبية.
كما حصل المستشفى على عدة اعتمادات دولية في جودة الرعاية الصحية وسلامة المرضى، من بينها اعتماد اللجنة الدولية المشتركة (JCI)، وهو ما يؤكد التزامه بالمعايير العالمية في كل مراحل الخدمة الصحية.
التكامل بين التقنية والرعاية الإنسانية
ورغم التطور التقني اللافت، يحرص المستشفى على أن تبقى الرعاية الإنسانية في صميم العمل الطبي، إذ يتم توجيه فرق التمريض والعلاج الطبيعي لتقديم الدعم النفسي والمعنوي للمرضى قبل وبعد العمليات.
كما تم تطوير بيئة المستشفى لتوفير أجواء مريحة تشجع على التعافي السريع، من خلال تصميم الغرف الحديثة، واستخدام الإضاءة الطبيعية، والموسيقى العلاجية في أقسام التأهيل.
مستقبل الجراحة الروبوتية في المملكة
تشير المؤشرات إلى أن استخدام الروبوت في الجراحة سيشهد توسعًا كبيرًا في المملكة خلال السنوات المقبلة، بدعم من رؤية السعودية 2030 التي تهدف إلى جعل المملكة مركزًا إقليميًا للرعاية الصحية المتقدمة والسياحة العلاجية.
ويُتوقع أن يشمل التوسع مجالات متعددة مثل جراحة القلب والأعصاب والعمود الفقري، إلى جانب تطوير برامج تدريب وطنية لتأهيل الجراحين السعوديين على استخدام هذه التقنية الحديثة.
رسائل توعوية للمجتمع
حثّ الدكتور سكيك جميع المرضى الذين يعانون من آلام مزمنة في الركبة على عدم تجاهل الأعراض أو تأجيل العلاج، مؤكدًا أن التشخيص المبكر والعلاج السليم هما الأساس في تجنب المضاعفات الخطيرة.
كما دعا إلى أهمية الوقاية من خشونة المفاصل من خلال الحفاظ على الوزن المثالي، وممارسة الرياضة بانتظام، وتناول الأطعمة الغنية بالكالسيوم وفيتامين D، إلى جانب المتابعة الدورية مع الأطباء المختصين.
تجربة ملهمة تختصر مفهوم الطب الحديث
اختُتمت قصة المريضة السبعينية بابتسامة واثقة، وهي تغادر المستشفى بعد أيام قليلة من العملية، قائلة:
“أشكر الله ثم الأطباء الذين أعادوا لي القدرة على المشي بعد أن فقدت الأمل. كنت أخاف من كلمة جراحة، لكن ما رأيته هنا جعلني أؤمن بأن الطب الحديث قادر على صنع المعجزات.”
هذه القصة ليست مجرد نجاح طبي فردي، بل مثال حي على ما يمكن أن تحققه المملكة بفضل الجمع بين الإنسان والتقنية في خدمة الحياة.
س: ما الميزة الأساسية للجراحة باستخدام الروبوت؟
ج: توفر دقة غير مسبوقة في تحديد موضع المفصل الصناعي، وتقلل فقدان الدم، وتسهم في تسريع التعافي مقارنة بالجراحة التقليدية.
س: لماذا تم استخدام التخدير النصفي في هذه العملية؟
ج: لتقليل مخاطر التخدير الكلي، خاصة مع تقدم المريضة في العمر، وللمساعدة في تعافي أسرع بعد الجراحة.
س: كم استغرقت العملية؟
ج: حوالي 90 دقيقة، وتكللت بالنجاح التام دون مضاعفات.
س: متى استطاعت المريضة المشي بعد العملية؟
ج: بعد ساعات قليلة فقط، وهو إنجاز طبي بفضل التقنية الروبوتية الحديثة.
س: ما أبرز مزايا استخدام الروبوت في مستشفيات الدكتور سليمان الحبيب؟
ج: تحقيق دقة جراحية استثنائية، تقليل الألم وفترة التنويم، وتمكين المرضى من استعادة نشاطهم بسرعة قياسية.
اقرأ أيضًا: “إنقاذ نادر لحياة سيدة.. مستشفى الدكتور سليمان الحبيب بالخبر ينجح في استئصال حملين منفجرين بتقنية المنظار”


